Have you ever noticed an unwelcome odor coming from your pet’s mouth? This odor can indicate disease.

Gingivitis is an inflammation of the gum tissue. It results in redness, swelling, and dental plaque. At this stage, gingivitis can be treated and cured by getting a routine cleaning and maintaining teeth and gum health by brushing your pet’s teeth. Untreated gingivitis can lead to periodontal disease.

The entire attached gum is inflamed and swollen. The mouth is painful, and the dog’s breath will begin to smell bad. At this stage, periodontal disease can be treated but not cured. However, by getting a routine cleaning and maintaining teeth and gum health at home by brushing your pet’s teeth, you can prevent the disease from progressing.

Gums are cherry red and bleeding. The attached gingiva is being destroyed by infection and tartar. Bad breath is present, and eating has become painful. There will be detachment of the gingivia and bone loss will begin to occur. At this stage, periodontal disease can be treated but not cured. However, by getting a routine cleaning and maintaining teeth and gum health at home by brushing your pet’s teeth, you can prevent the disease from progressing.

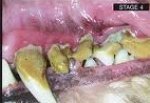
Chronic bacterial infection is present; it is destroying the gum, tooth, and bone. At this stage, bacteria may be spreading throughout the body via the bloodstream, which can cause damage to the liver, kidneys, and heart.
We recommend brushing your pet’s teeth at least once a week, yes, cats too! There are many canine and feline-friendly dental products, including beef and chicken-flavored toothpaste. DO NOT use human toothpaste to brush your pet’s teeth, as it is toxic for dogs and cats. There are two types of toothbrushes. Some have handles on them just like human toothbrushes, and the other type fits right over your index finger. Brushing their teeth will help to remove plaque build-up, but it will not remove tartar. For this, we recommend a yearly dental cleaning done at the clinic.